Казань
ул. Соловецких Юнг, 1
+7 (900) 327-61-92
Красивая и здоровая улыбка в одном месте!
Поставить брекеты, исправить прикус
Опыт более 8 лет. Сотни довольных пациентов
Вы хотите установить брекеты для исправления прикуса и хотите узнать стоимость данной услуги в Казани?
На данной странице мы дадим Вам исчерпывающий ответ по ценам на брекеты во всех клиниках Казани.
Для начала, Вы должны понимать, что цена это далеко не первый критерий при выборе клиники и сейчас Вы в этом убедитесь.
Обязательно прочтите следующий текст, иначе Вы потратите деньги и время впустую
Один из главных критериев выбора - это профессионализм стоматолога ортдонта.
Дело в том, что самое важное в установке брекетов - это правильно скорректировать прикус. Начинающие доктора не знают, как правильно произвести расчеты, чтобы уже через пол года прикус был исправлен!
Поэтому, если Вы попадете к неопытному ортодонту, процесс исправления прикуса может занять до 3-х лет и при этом никакой гарантии результата.
А 3 года ходить с пластинками, Вы сами понимаете, что это очень долго и вызывает кучу неудобств.
В нашей клинике ведет прием высококвалифицированный стоматолог-ортодонт, с десятилетним стажем.
Дело в том, что самое важное в установке брекетов - это правильно скорректировать прикус. Начинающие доктора не знают, как правильно произвести расчеты, чтобы уже через пол года прикус был исправлен!
Поэтому, если Вы попадете к неопытному ортодонту, процесс исправления прикуса может занять до 3-х лет и при этом никакой гарантии результата.
А 3 года ходить с пластинками, Вы сами понимаете, что это очень долго и вызывает кучу неудобств.
В нашей клинике ведет прием высококвалифицированный стоматолог-ортодонт, с десятилетним стажем.
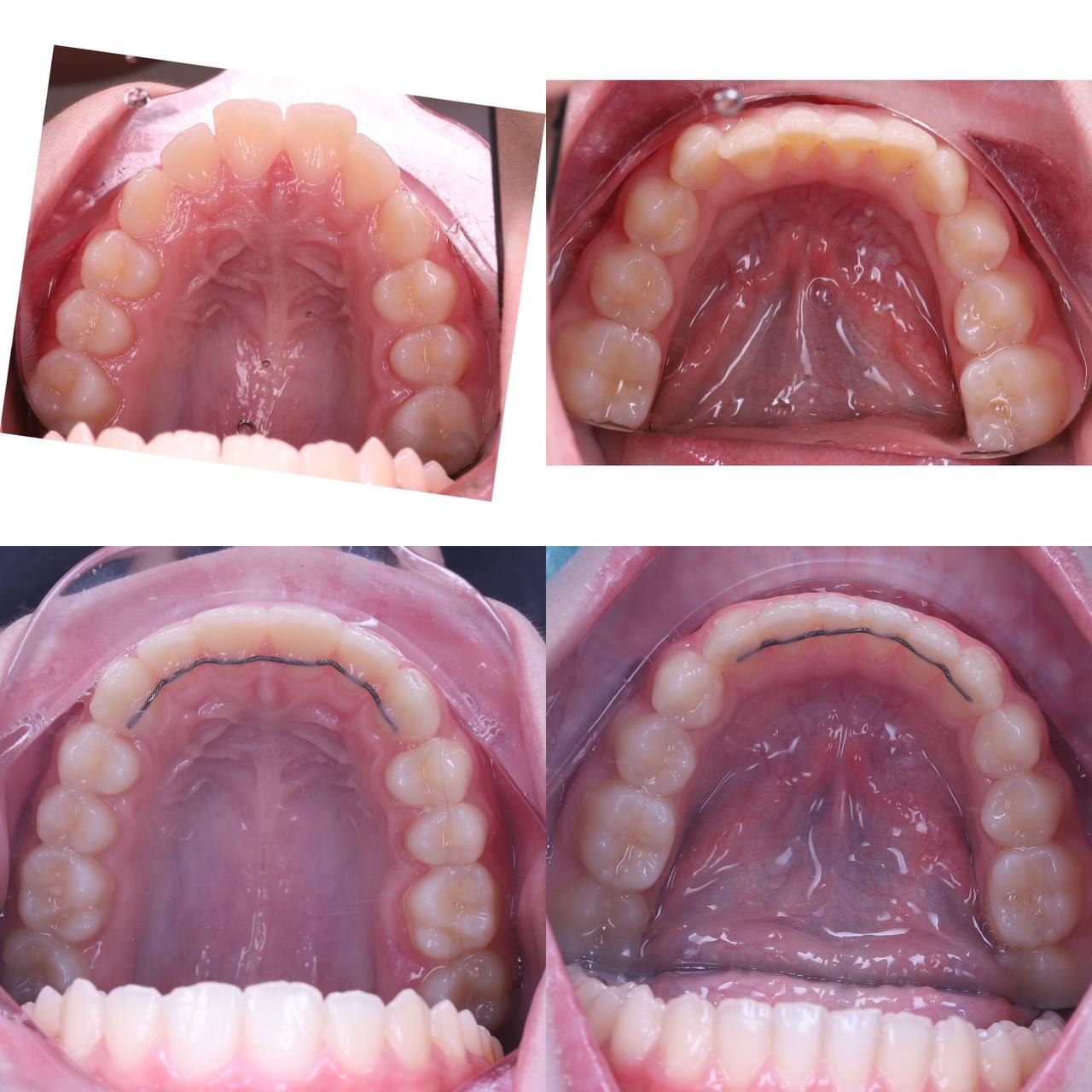
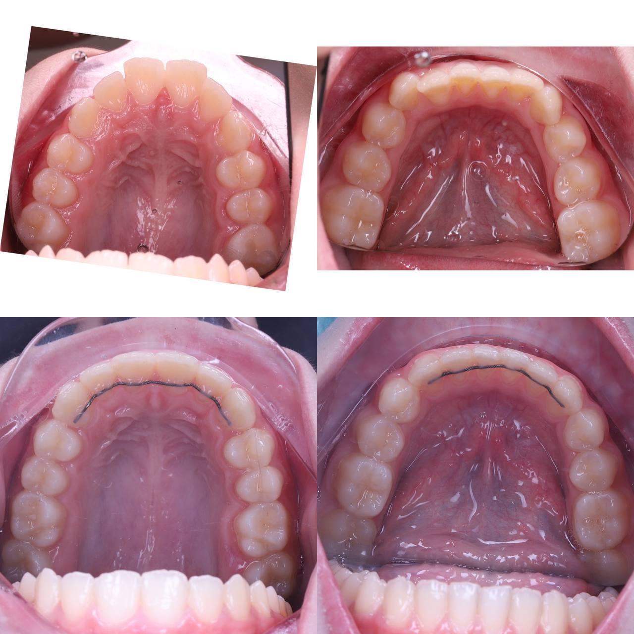
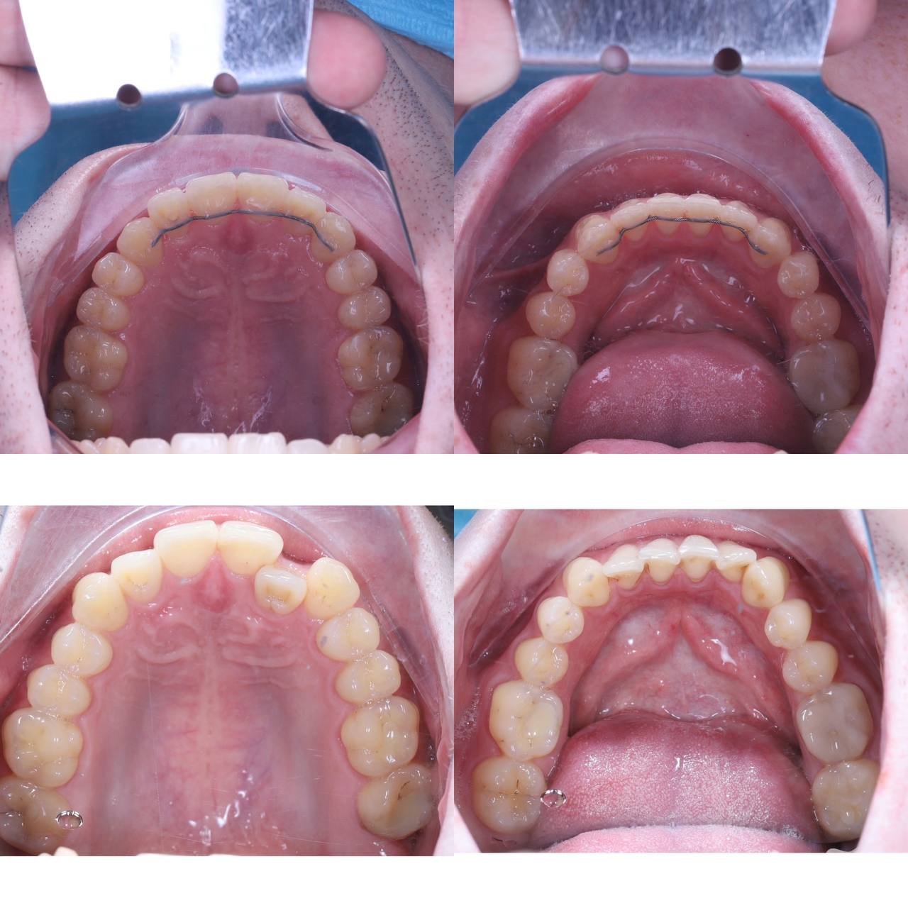
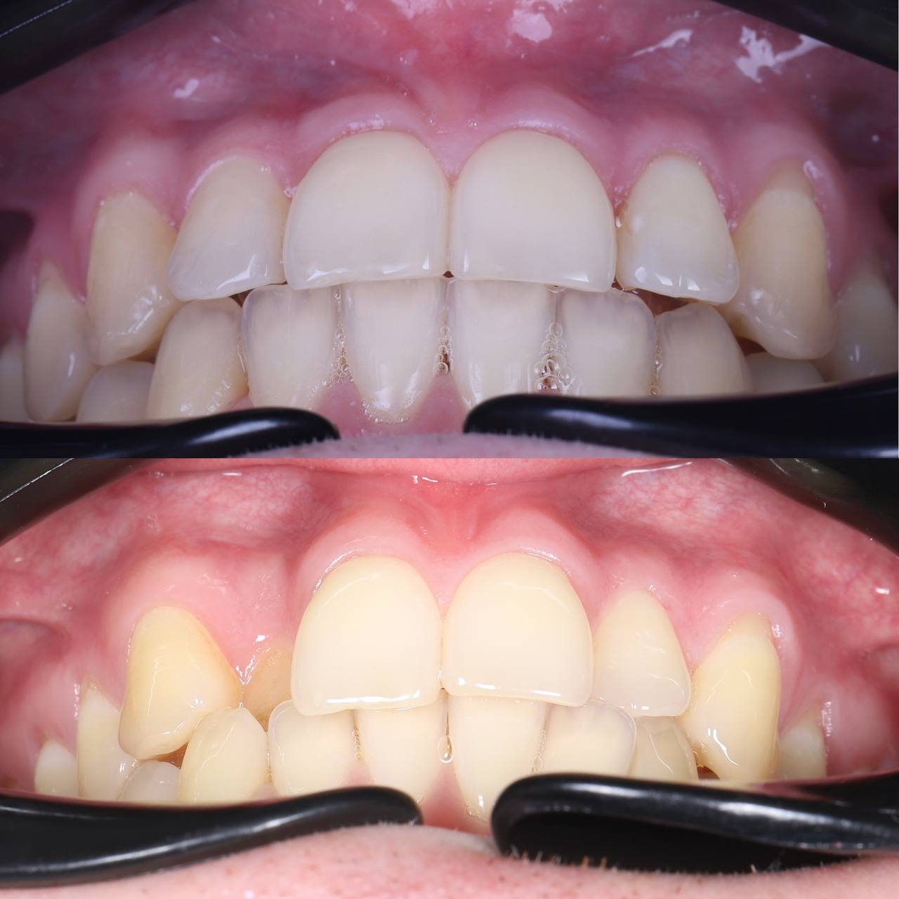
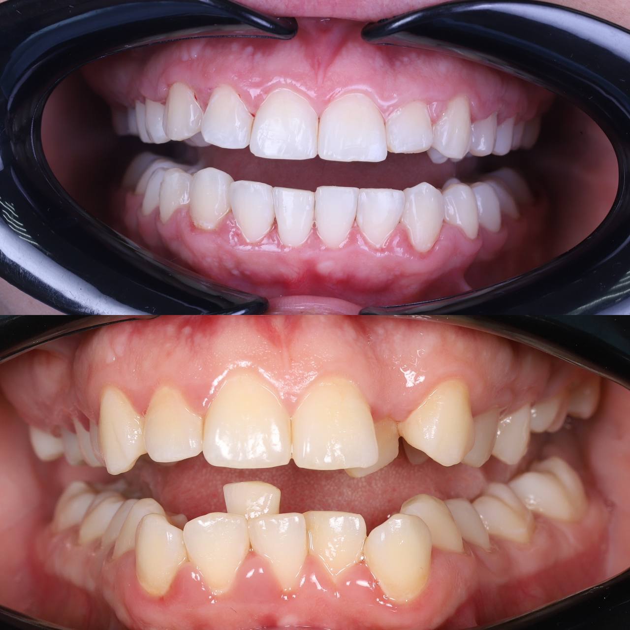
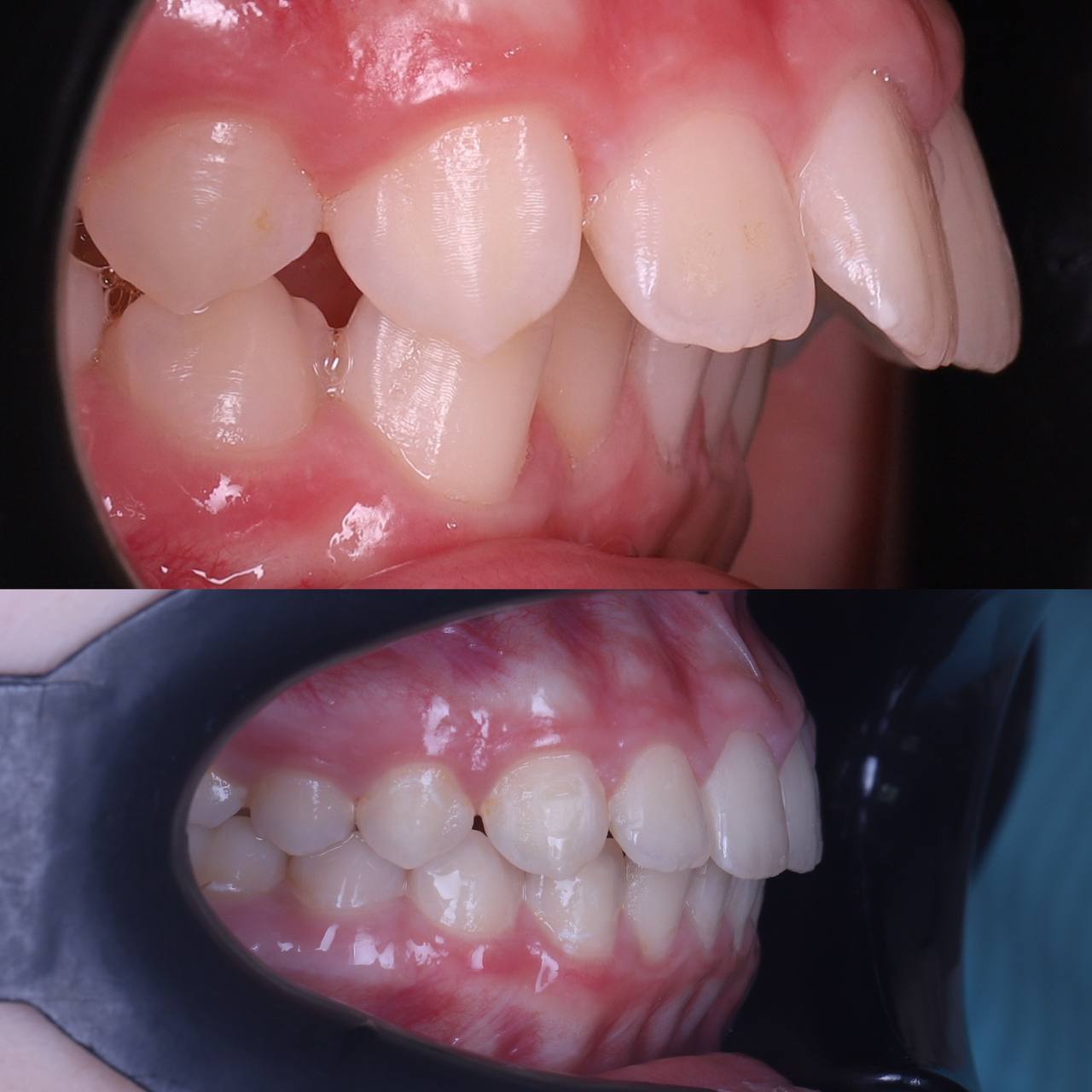
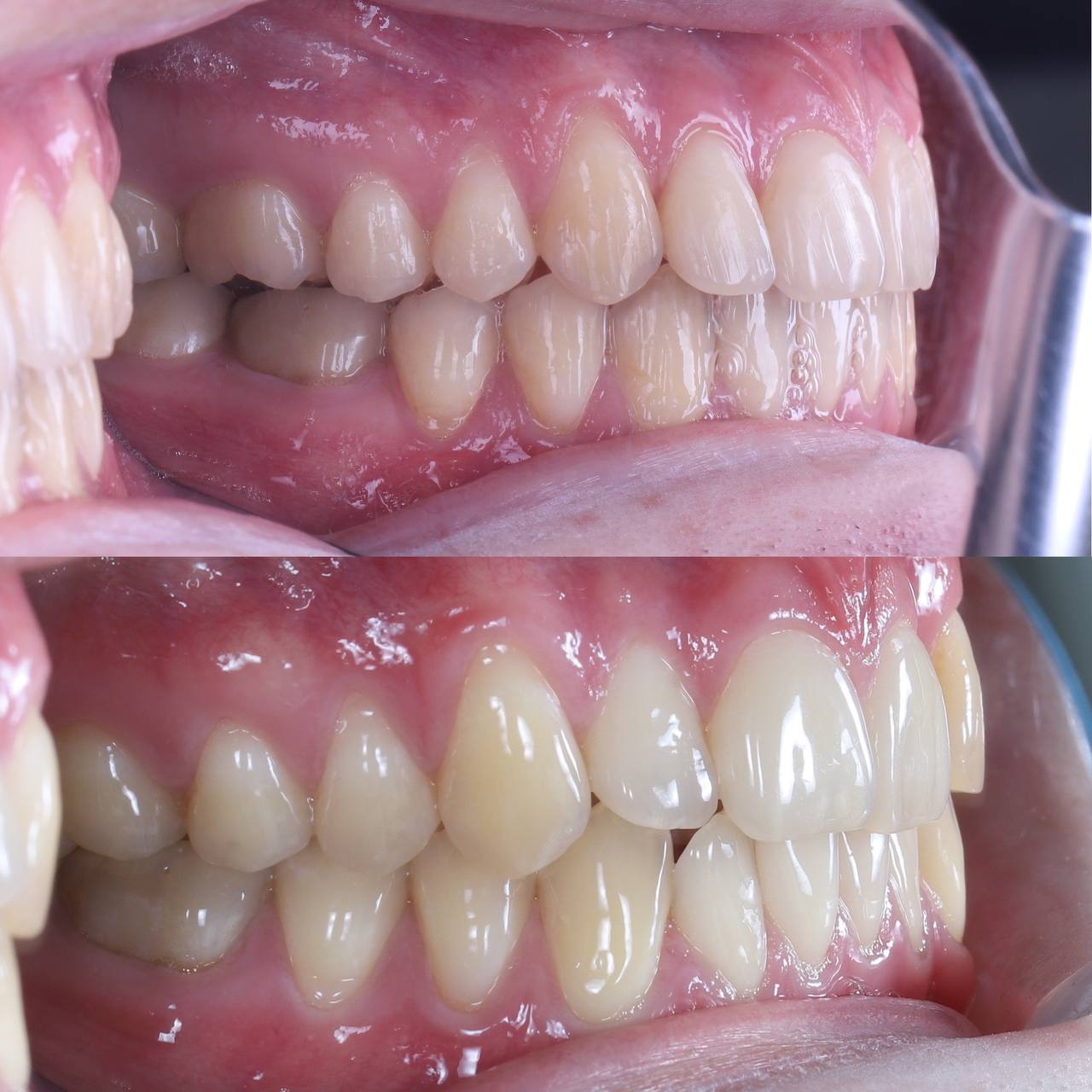
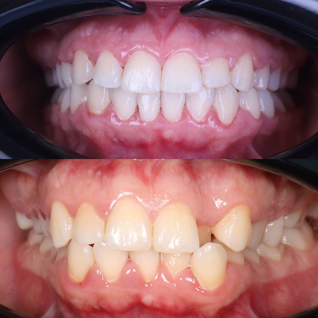
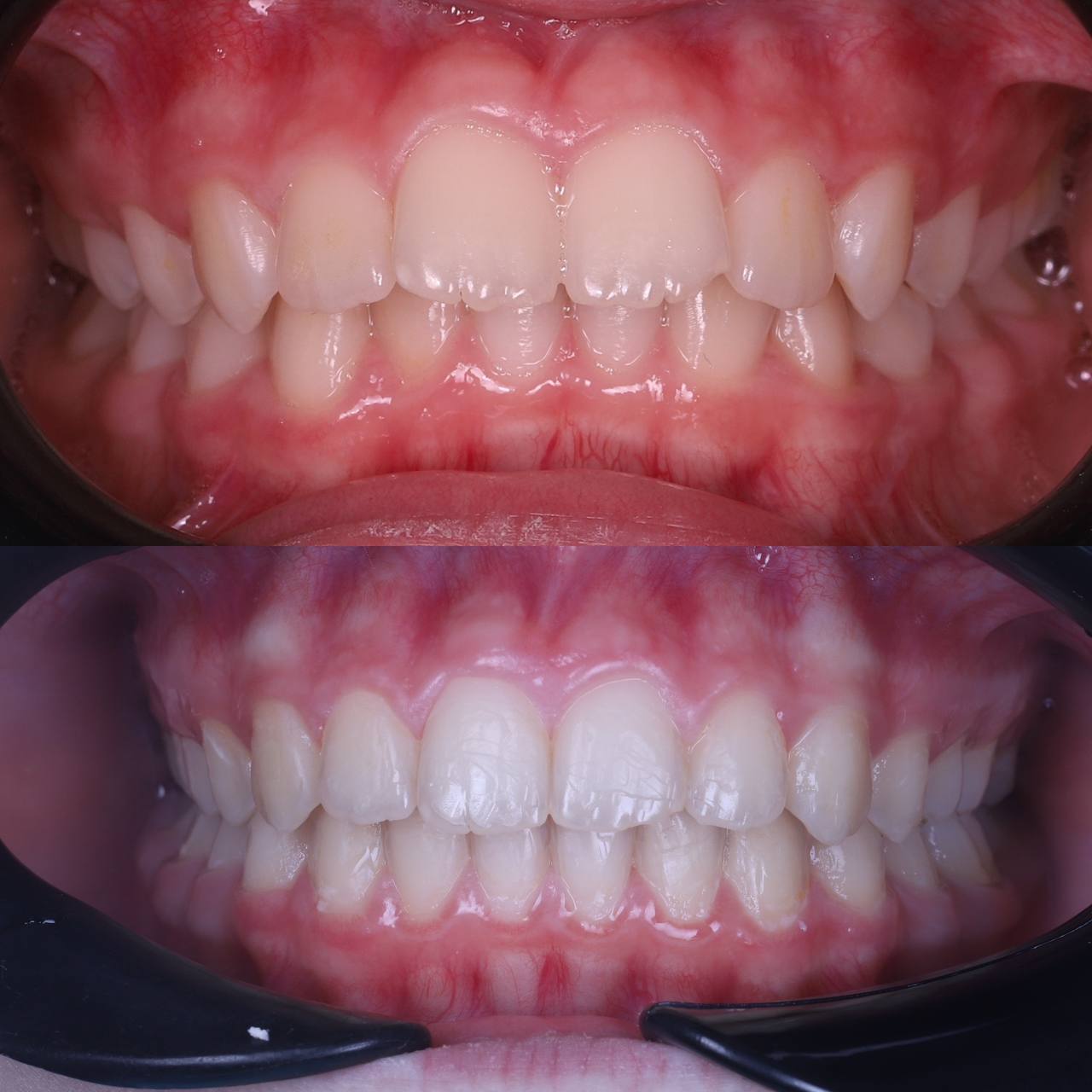
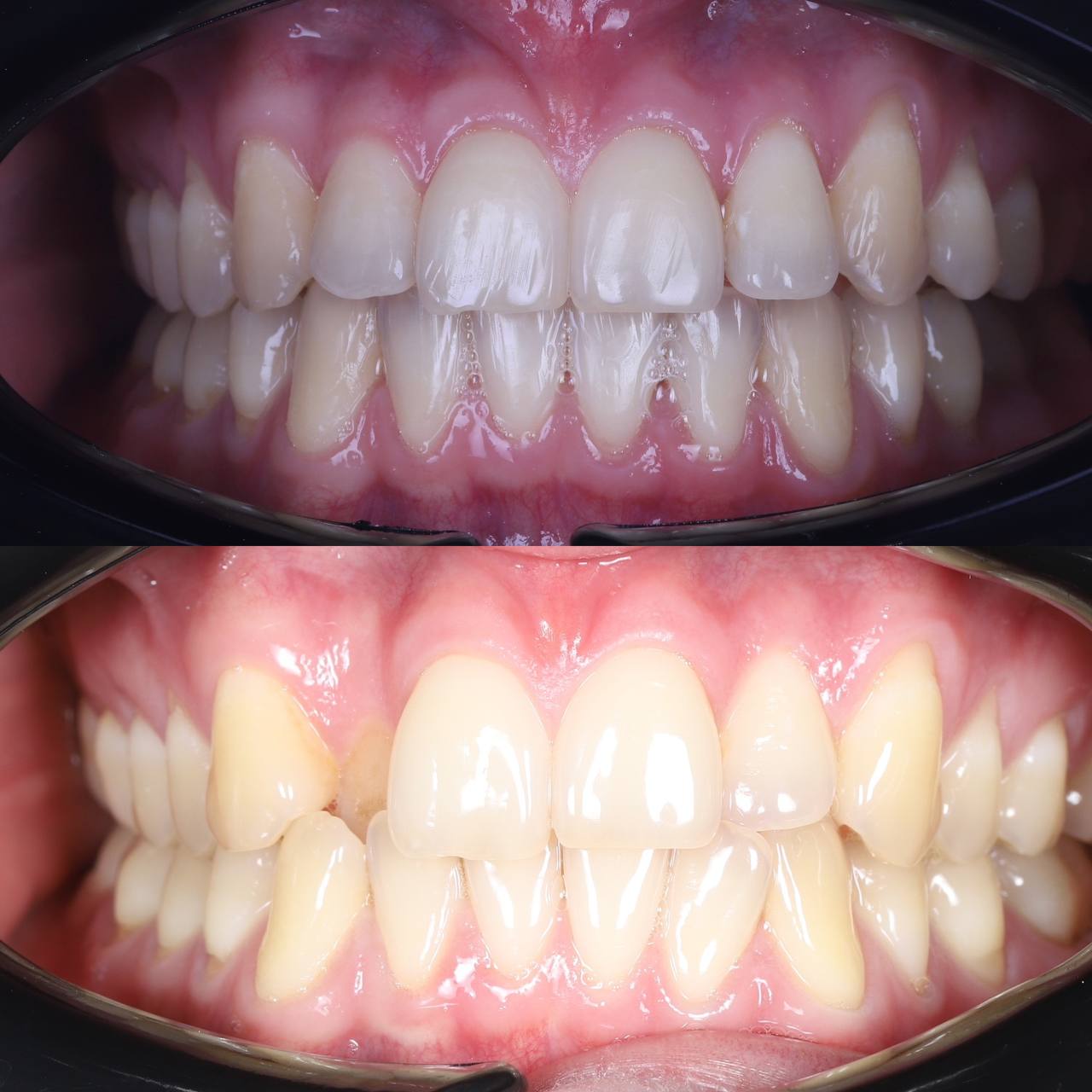
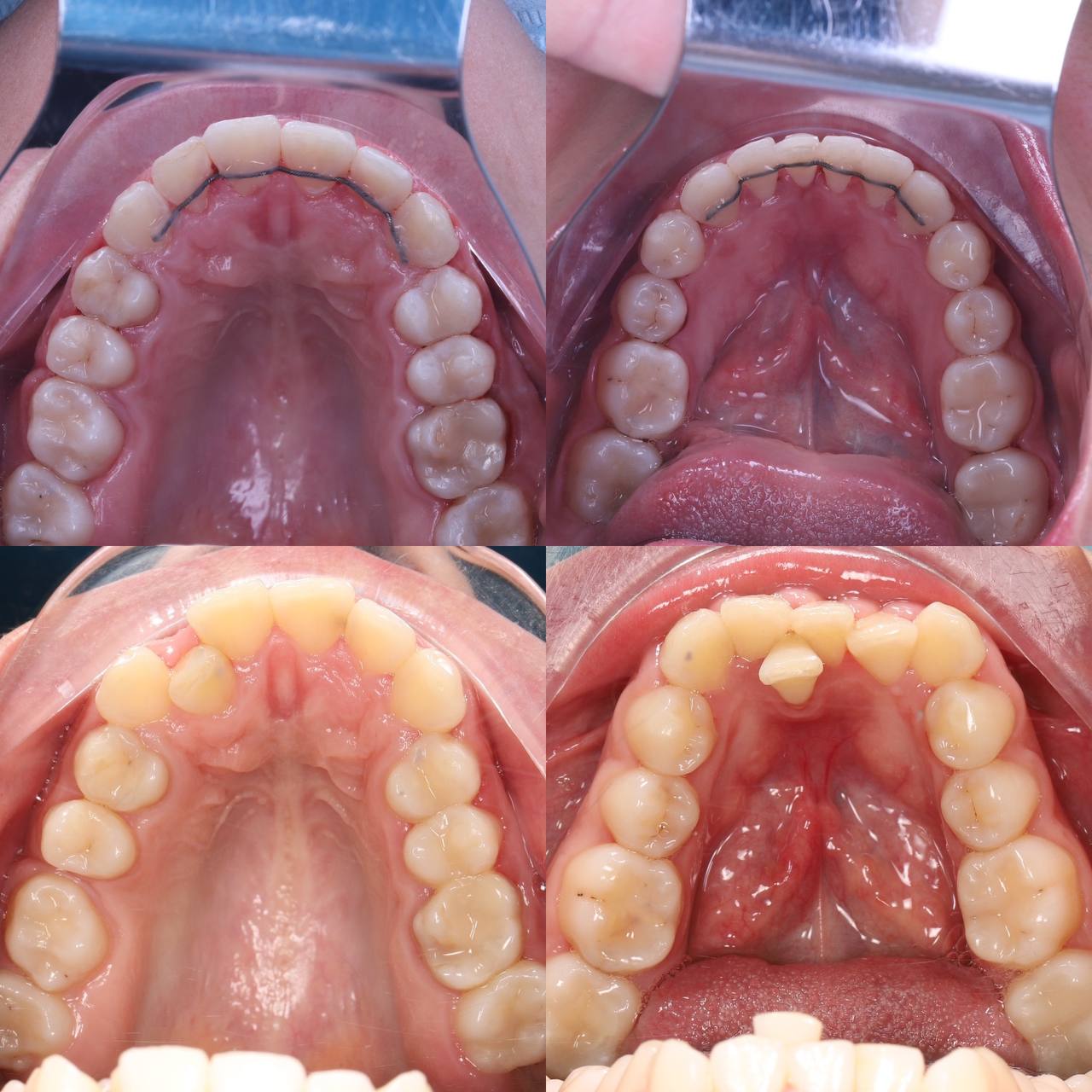
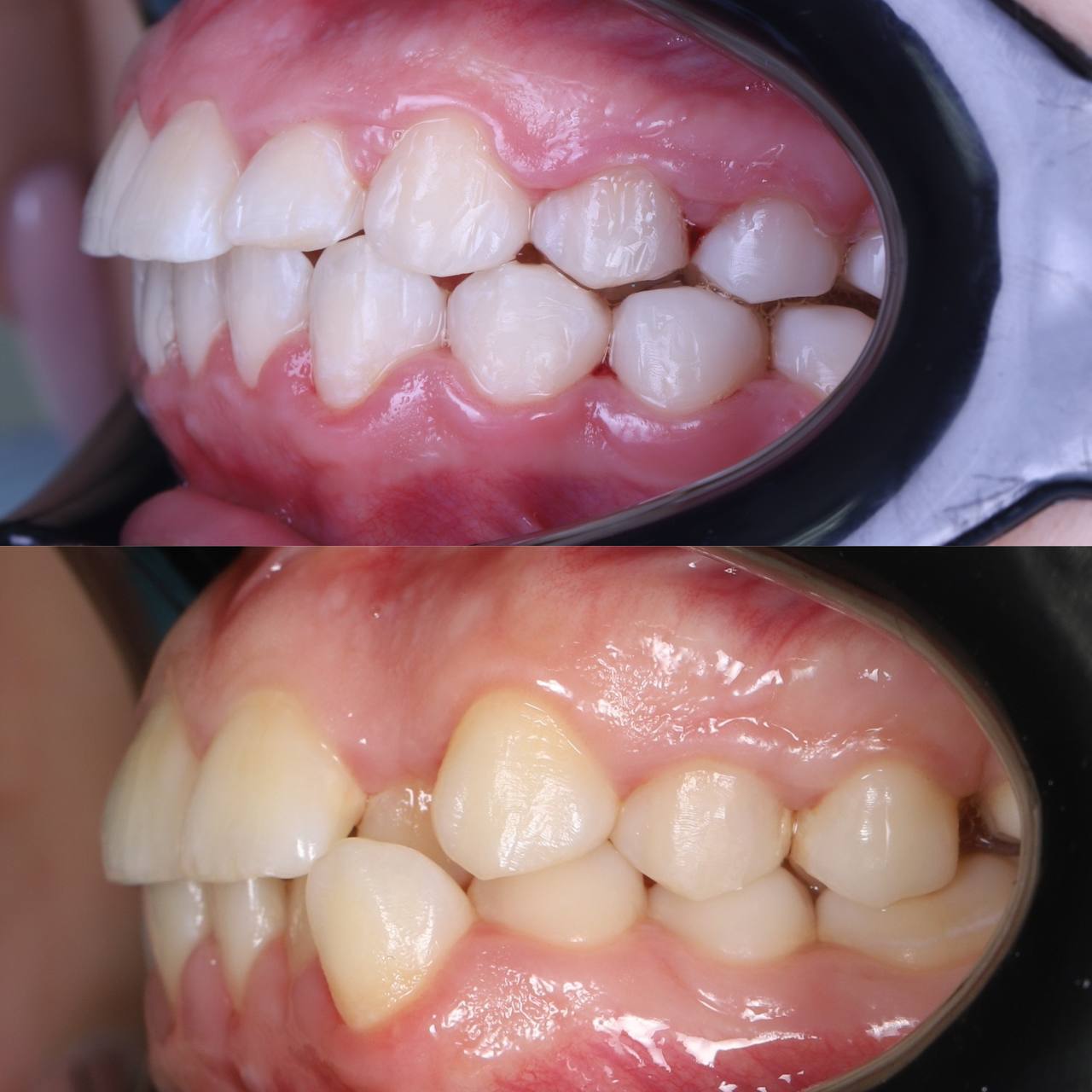
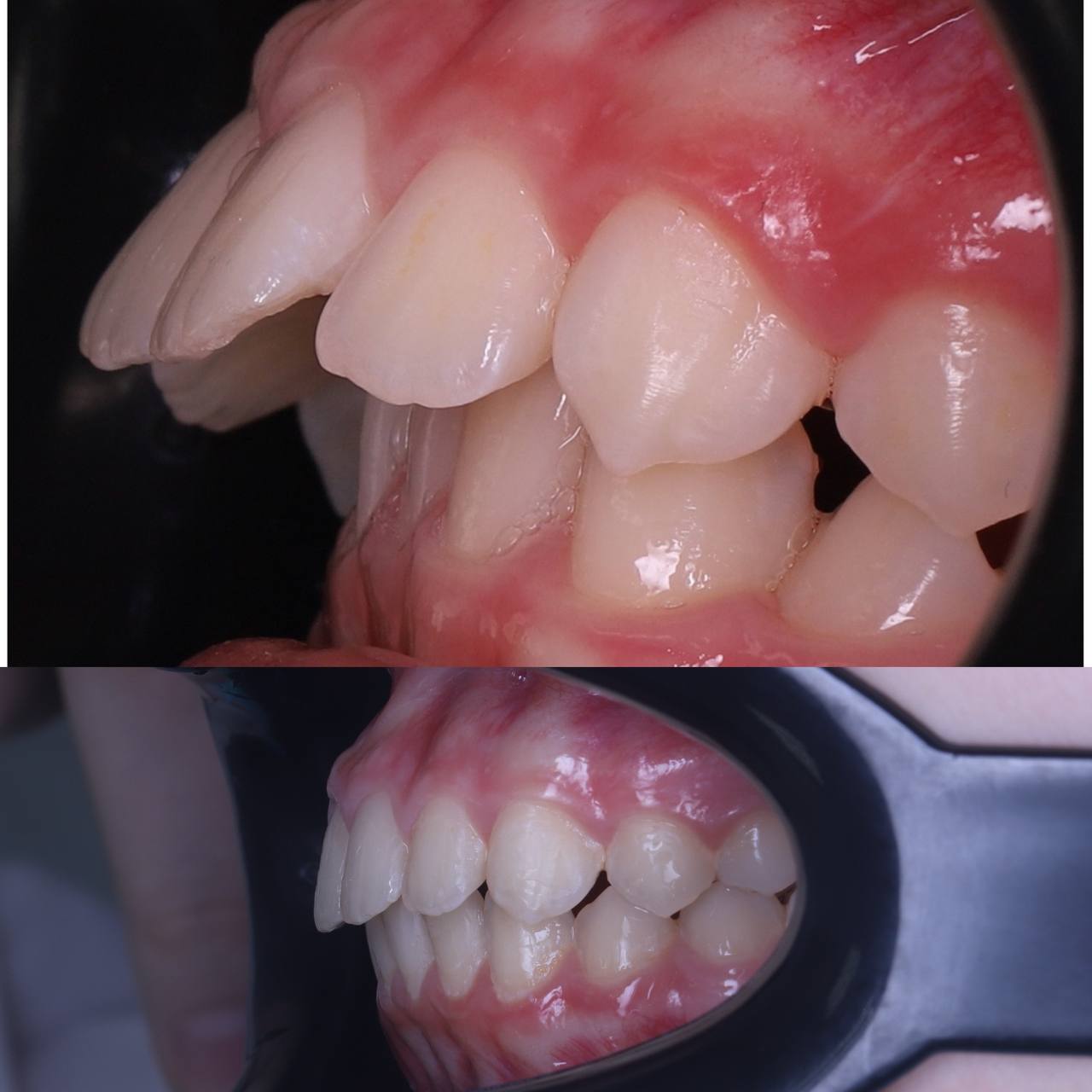
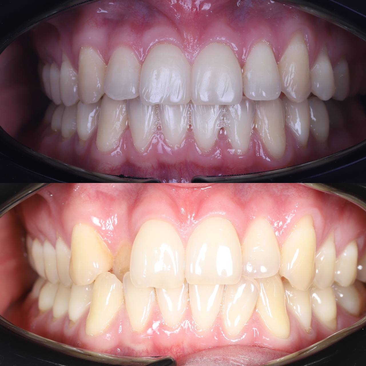
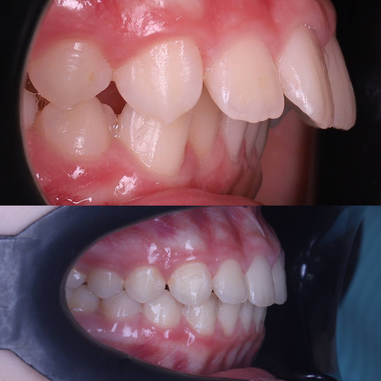
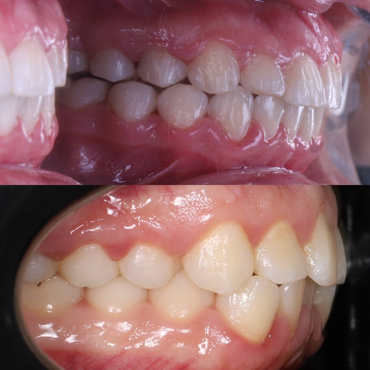
Примеры работ
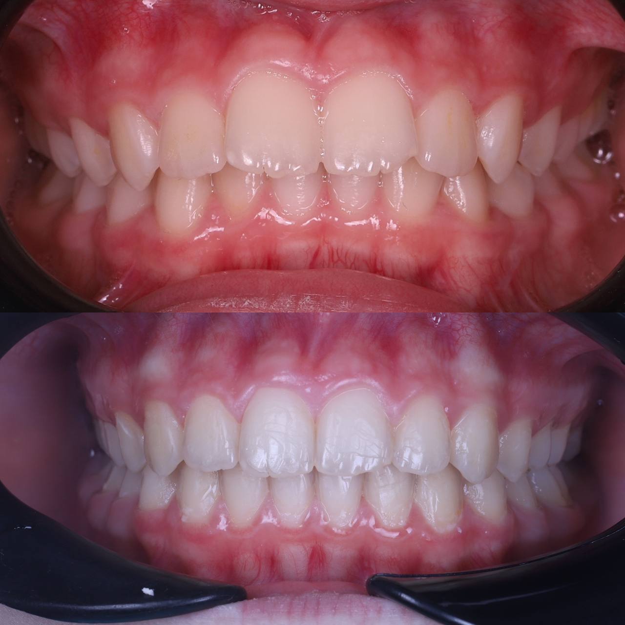
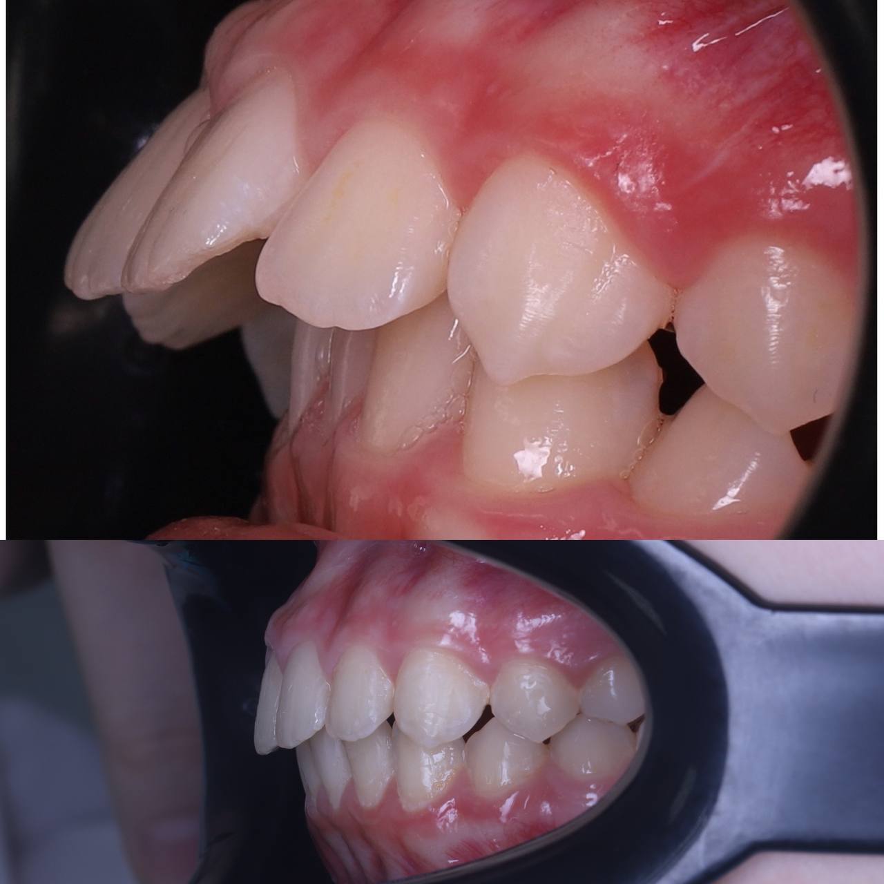
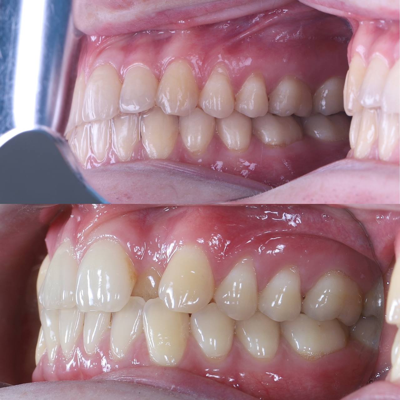
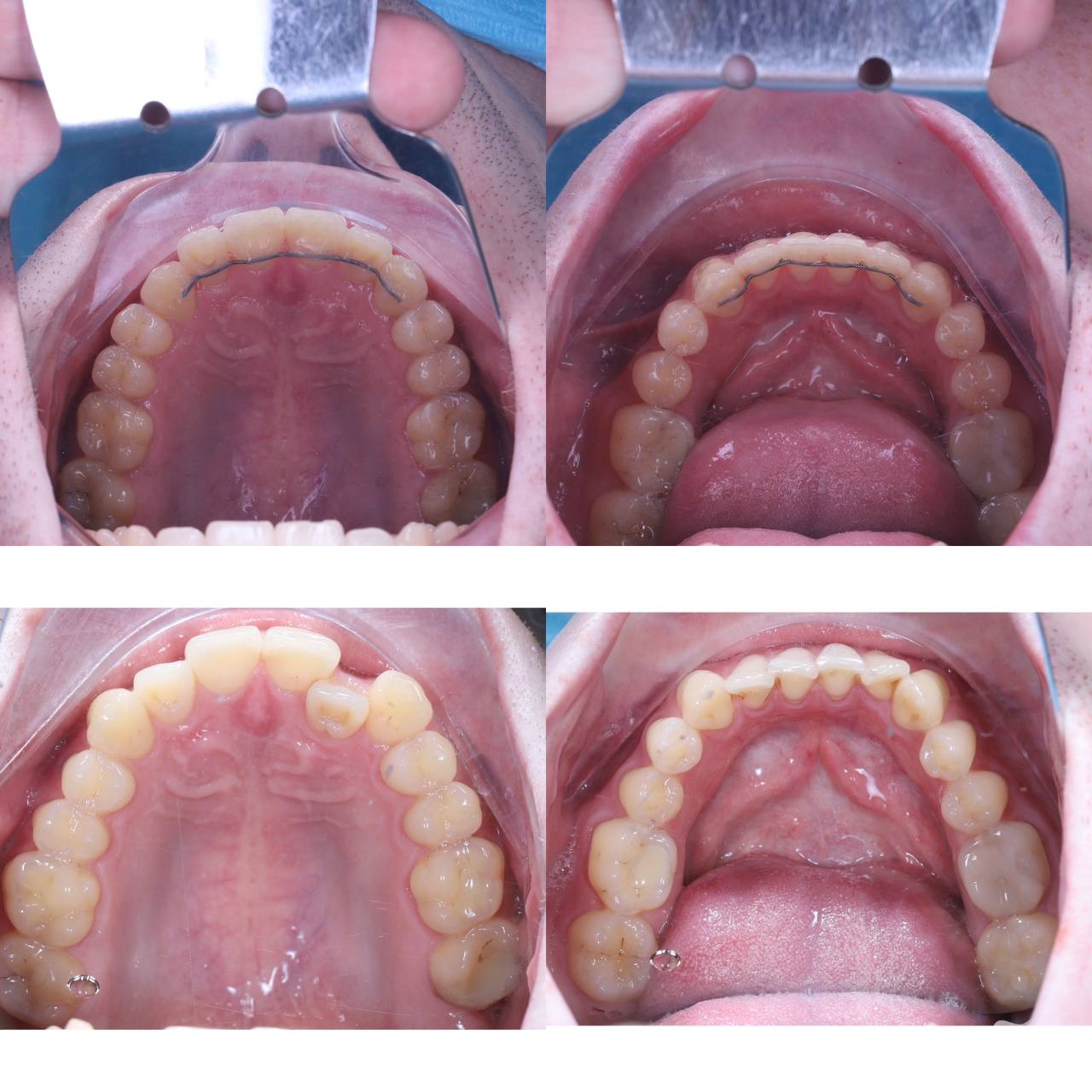
К нам обратилась пациентка, с жалобами на неровные зубы и их расположение
Дано : Суженная верхняя челюсть.
Что мы сделали?
Лечение Было с использованием 3 винтов Дистализировали зубы, создали место для Резцов. Выровняли арку улыбки Создали дисплей.
Выровняли центр Зубов. Теперь пациентке предстоит реставрация Зубов, замена пломб и коронок.
Дано : Суженная верхняя челюсть.
Что мы сделали?
Лечение Было с использованием 3 винтов Дистализировали зубы, создали место для Резцов. Выровняли арку улыбки Создали дисплей.
Выровняли центр Зубов. Теперь пациентке предстоит реставрация Зубов, замена пломб и коронок.
Наши преимущества
1 796
Довольных клиентов
1 245
Дней успешной работы
17
Опытных сотрудников
Все специалисты в одном месте
Комплексные планы лечения
Много положительных отзывов
на независимых ресурсах
Прозрачность цен
Пациент перед лечением видит прозрачно, сколько будут стоить услуги
Меняем жизнь людей к лучшему
Более 2000 отзывов и счастливых людей
Узнайте, какое решение подходит в вашем случае
Ортопантомограмма 0 ₽.
Дадим второе мнение, если вы уже были у врача.
Теперь что касается цены на установку брекетов и исправления прикуса. Брекеты бывают разные и бывает разная сложность работ.
По виду используемого материала брекеты бывают:
Металлические
Керамические
Сапфировые
Золотые и т.д.
Так выглядят металлические (слева на картинке) и керамические брекеты (справа)
Также брекеты разделяются по методу крепления:
Наружные (вестибулярные)
Внутренние (лингвальные)
Исправление прикуса без брекетов
Элайнеры
Перед началом лечения проводится диагностика. Затем врач при помощи сканера снимает с зубов пациента высокоточную 3D модель, и в специальной программе создает компьютерную модель желаемой улыбки - именно так, как она будет выглядеть после выравнивания прикуса После этого информация отправляется в лабораторию компании-производителя, и он изготавливает индивидуальный комплект кап по модели.
Виниры
Исправление прикуса винирами актуально в случаях, когда есть небольшие эстетические дефекты: щели между зубами, минимальная неровность зубов, высота зубов.
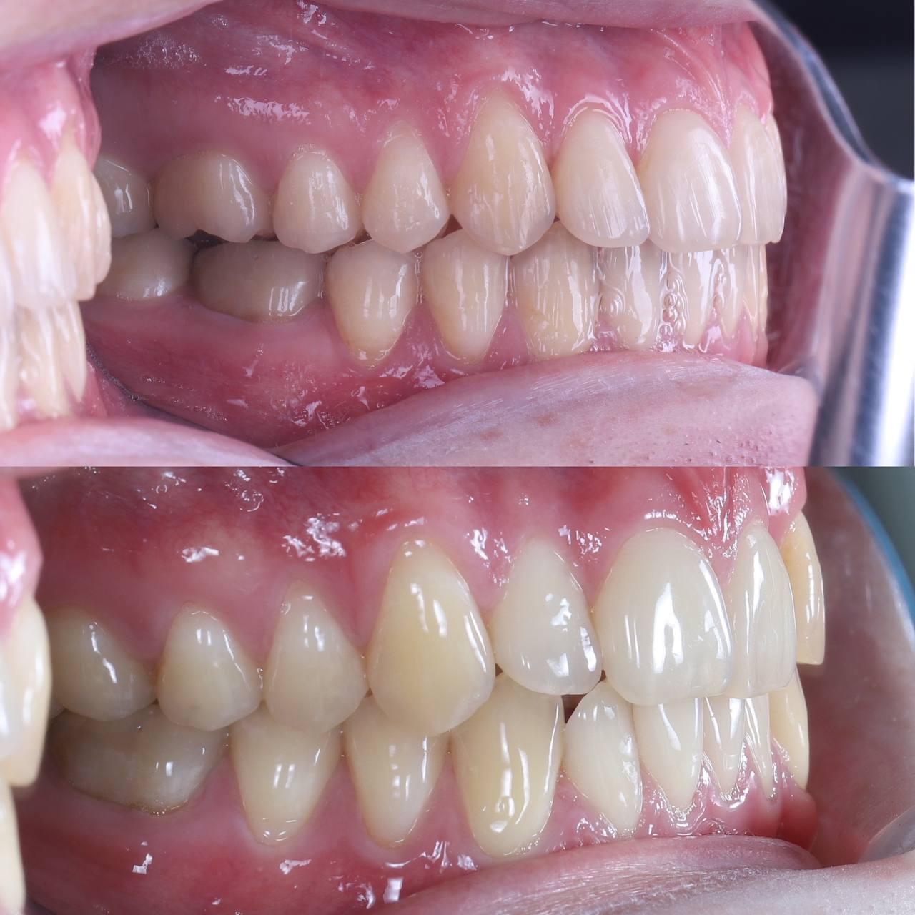
Не просто восстанавливаем прикус, а делаем улыбку максимально красивой
Привлекательная улыбка имеет свои вполне четкие стандарты:
Линия верхних зубов (арка улыбки) должна быть параллельна нижней губе.
Улыбка должна быть широкой. Чем больше зубов видно в момент улыбки, тем более привлекательной и открытой она воспринимается окружающими.
Средняя линия улыбки должна совпадать с центром лица.
Кроме того, чем заметнее при улыбке верхние зубы пациента, тем моложе он кажется. И, наоборот, демонстрация при улыбке нижних зубов добавляет годы.
Поэтому ортодонт обязательно учитывает все выше перечисленные параметры и планирует такое передвижение зубов, чтобы, исходя из имеющихся возможностей, сделать улыбку пациента максимально приближенной к идеалу. После грамотного ортодонтического лечения пациент будет выглядеть более молодым и привлекательным без всякой пластической хирургии. Результаты таких расчетов тоже отражаются в плане лечения.
Восстанавливаем прикус в кратчайшие сроки
Привлекательная улыбка имеет свои вполне четкие стандарты:
Прием ведут опытные ортодонты. Опыт врача напрямую влияет на сроки исправления
прикуса.
прикуса.
Перед началом лечения осуществляем максимально детальную диагностику на основании ТРГ снимков.
С помощью специального программного обеспечения с математической точностью
производим все рассчеты будущего лечения.
производим все рассчеты будущего лечения.
Используем самолигирующие брекеты - эффект наступает раньше.
Обратите внимание на комфорт посещений - исправление прикуса не быстрый процесс
Удобное расположение
Работаем по предварительной записи, никаких очередей
Всегда напомним о приеме с помощью смс
Узнайте сколько будет стоить исправление прикуса и какие сроки
Ответив на 5 простых вопросов
Узнайте окончательную стоимость и точные сроки лечения на консультации
На консультации ортодонт определит тип вашего прикуса
| |
| Глубокий | Дистальный |
| |
| Открытый | Мезиальный |
Вам будут сделаны ОПГ и ТРГ снимки
Будут произведены математические рассчеты
будущего лечения
будущего лечения
Будет подготовлен детальный план лечения
Не откладывайте консультацию, успейте занять свободное время
В силу того, что ортодонтическо лечение достаточно длительный процесс в сравнении с другими направлениями стоматологии, 90% времени у ортодонтов расписано постоянными пациентами и к ним не так легко попасть на прием.
Если график ортодонта заполняется на 100%, новым пациентам приходится ждать освободившегося окна от нескольких месяцев до года.
Если график ортодонта заполняется на 100%, новым пациентам приходится ждать освободившегося окна от нескольких месяцев до года.
Удобная схема оплаты
Помогаем вернуть 13% от стоимости лечения
Беспроцентная рассрочка от клиники до 15-и месяцев!
Наши врачи
| 10 | Лет опыта |
Яковлев Евгений
Александрович
Александрович
Врач стоматолог-ортодонт,
гнатолог
гнатолог
Запись на консультацию
Не откладывайте, запишитесь на консультацию прямо сейчас, перезвоним через 15 минут
Высокая оценка пациентов - наша главная гордость
4.9 Средняя оценка
Только честные отзывы
Мы за честность
Убедиться в наших отзывах легко — просто напишите пациентам, оставившим отзывы, и поинтересуйтесь о качестве услуг и сервиса нашей стоматологии
Пожалуйста, оставьте свой отзыв. Это очень ценно для нас! Всего несколько слов о качестве, сервисе и результате
В нашей клинике всегда чисто, уютно и спокойно
Какие инструменты понадобятся для гигиены полости рта
Брекет-системы сами по себе абсолютно безопасны для зубов.
Их использование не вредит эмали и не способствует развитию воспалительных процессов.
Но установка затрудняет гигиену полости рта в целом, а значит, вам потребуется специальный уход за брекетами.
Их использование не вредит эмали и не способствует развитию воспалительных процессов.
Но установка затрудняет гигиену полости рта в целом, а значит, вам потребуется специальный уход за брекетами.
Обычно на упаковке зубных щеток такого типа стоит отметка Ortho.
Ее конструкция отличается от обычной V-образной формы и более тонкой «шеей».
Допускается использование электрощетки.
Ее конструкция отличается от обычной V-образной формы и более тонкой «шеей».
Допускается использование электрощетки.
Несколько правил по уходу за брекетами
Привыкайте к тому, что к ежедневной чистке зубов утром и вечером прибавятся дополнительные - в течение дня после приема пищи.
Осуществляйте чистку медленно и тщательно, используя поочередно все вышеперечисленные приборы.
Осуществляйте чистку медленно и тщательно, используя поочередно все вышеперечисленные приборы.
Запомните! Чистка каждого зуба не может занимать меньше 10-15 секунд.
Иначе процедура просто неэффективна.
Иначе процедура просто неэффективна.
Приобретите антибактериальный ополаскиватель на случай, если после еды у вас нет возможности сразу почистить зубы.
Не пропускайте процедуры профессиональной чистки зубов в стоматологии.
Во время лечения брекетами проходить ее необходимо не реже одного раза в квартал.
Попросите стоматолога расписать график посещений для чистки и строго ему следуйте.
Во время лечения брекетами проходить ее необходимо не реже одного раза в квартал.
Попросите стоматолога расписать график посещений для чистки и строго ему следуйте.
Этапы установки брекетов
Визит к ортодонту
ОПГ или КЛКТ снимок
Снятие слепков
Расчет математической модели
для исправления прикуса и составления плана лечения
Подготовка полости рта (при необходимости)
профессиональная чистка и лечение кариеса
Фиксация брекет системы
Плановое посещение ортодонта
Снятие брекетов
Мы в социальных сетях
Подписывайтесь на наши аккаунты, следите за выгодными предложениями и задавайте вопросы.
Мы всегда рады новым знакомствам.
Мы всегда рады новым знакомствам.
Первый шаг к вашей идеальной улыбке
Что вас ждёт на консультации
Беседа с врачом
Врач выслушает все ваши жалобы и ответит на интересующие вопросы.
Осмотр
Специалист проведёт тщательный осмотр полости рта и подробно расскажет о состоянии каждого зуба.
План лечения
По итогу осмотра врач составит план лечения и список необходимых обследований.
Пациент на первом месте
На консультации уделяем пациентам столько времени и внимания, сколько потребуется для ответа на все вопросы.
Второе мнение
Дадим второе мнение, если вы уже были у врача.
Проконсультируем вас по условиям и стоимости лечения, подберём врача и запишем вас на приём.
Консультация займёт всего 20–40 минут
Консультация займёт всего 20–40 минут
Имплантация
Терапия
Протезирование
Ортодонтия
Эстетическая стоматология
Казань
ул. Соловецких Юнг, 1
+7 (900) 327-61-92
Красивая и здоровая улыбка в одном месте!
По будням с 9:00 до 20:00
Сб с 9:00 до 18:00
Сб с 9:00 до 18:00
breket-kzn@yandex.ru
Подписывайте на нас в соцсетях, чтобы быть в курсе всех событий